Un vaccino contro la demenza di Alzheimer.
Come visto nel precedente capitolo di questo ipertesto la formazione a livello neuronale di placche di beta-amiloide(Ab) è considerata la principale causa dell insorgere dell’ Alzheimer.
Negli ultimi anni i ricercatori si stanno concentrando sulla ricerca di un vaccino per questa malattia, infatti mentre non è ancora stata concepita una cura, la prevenzione di questa malattia è al centro di diverse ricerche mondiali.
Diversi risultati promettenti e concreti sono stati raggiunti negli ultimi anni.
Infatti presso il Korea Research Institute of Bioscience and Biotechnology (KRIBB) di Seoul, si sta studiando una particolare cura basata su pomodori geneticamente modificati da utilizzare come vaccino.
Perchè il Pomodoro?
Il campo della vaccinazione contro l alzheimer è stato protagonista di diversi progressi, soprattutto per quanto riguarda l utilizzo del peptide della beta amiloide(Schenk1999, Morgan2000) inserito tramite vettore per provocare una risposta immunitaria all interno di animali.
È difficile produrre questo peptide attraverso E.Coli e/o Sistemi di espressione di lievito a causa della sua alta tossicità. Per questo motivo si è deciso di mediare questa proteina all interno delle cavie e del corpo umano tramite piante transgeniche. Le piante GM sono infatti considerate un ottimo sistema alternativo per la produzione di proteine ricombinanti utili, quali anticorpi e antigeni.
Durante gli ultimi 15 anni, vari antigeni sono stati prodotti da piante con successo e somministrati su animali hanno indotto buone risposte immunitarie (Mason 1996; Tacket 1998; Richter 2000).
Al principio di questa ricerca é stata sperimentato la trascrizione di questa proteina all'interno di diverse piante, infatti ogni pianta ha vantaggi e svantaggi (Sala 2003). Per esempio le piante del tabacco o quelle dell erba medica spesso producono proteine nei loro tessuti a foglia verde, ma tendono a contenere alte concentrazioni fenoliche o composti potenzialmente tossici. I semi invece possono avere meno fenoli e una miscela meno complessa di proteine e lipidi rispetto alle foglie verdi, il che potrebbe essere un vantaggio durante la purificazione. Le piante di pomodoro, e in particolare il frutto del pomodoro ha la particolarità, e il pregio di poter essere consumato senza una previa cottura, che potrebbe distruggere l'immunogenicità dell antigene.
Inoltre, pomodori transgenici hanno un notevole potenziale per la produzione di proteine con prezzi contenuti,infatti alcune proteine prodotte con i pomodori sono già commercializzate (Horn 2004).
Il Procedimento
il KRIBB In questo studio, ha effettuato la clonazione e espressione di tandem ripetuti(dalle 3 alle 5 volte) di beta amiloide in piante di pomodoro. Questo nel tentativo che l'organismo che assume questa verdura sviluppi un anticorpo in grado di combattere la formazione di placche Ab.
La creazione di questo vaccino è frutto di un complesso procedimento biotecnologico.
Possiamo delineare in questo procedimento alcuni punti fondamentali.
- - Sequenziamento del genoma codificante della beta amiloide.
- - Selezione delle piante di pomodoro migliori per la trasformazione.
- - Trasformazione nucleare delle piante di pomodoro mediata da agrobacterium tumefaciens.
- - Selezione delle piante con avvenuta trasformazione mediante kanacimina.
- - Fase di controllo:
- 1) Verifica dell’ integrazione del gene mediante la tecnica della PCR.
- 2) Verifica della avvenuta trascrizione dei geni tramite Northern blot.
- 3) Verifica dell espressione delle proteina mediante Western blot e test ELISA.
- - Selezione della linea di pomodoro transgenico con maggiore espressione di proteine.
- - Inserimento in topi sterili del gene per l espressione di beta amiloide, in modo da indurne nel loro organismo una produzione massiccia.
- - Alimentazione iniziale dei topi con i pomodori vaccino seguita da un richiamo dopo 2 settimane e dopo 3 settimane
Ecco un riassunto visivo-didascalico del procedimento sopraelencato:
-
Parte Prima: costruzione di vettori per l espressione in pomodori della beta amiloide, ed inserimento dei vettori nelle piante.
(a) le sequenze codificanti per la beta amiloide sono visualizzate su gel di agarosio colorato con bromuro di etidio.
(b) schematizzazione del vettore Ab espresso nella pianta del pomodoro. I geni della beta amiloide 3 4 5 sono stati clonati sotto il controllo del promotore CaMV35S. inoltre nello schema possiamo vedere gli enzimi di restrizione che tagliano il vettore.
(c)
- (sinistra) rigenerazione in vitro di cotiledoni di pomodoro .
- (centro) vengono selezionate le piante in cui è andata a buon fine la trascrizione del vettore. infatti nel vettore trascritto viene inserito un gene di resistenza alla kanacimina in modo che quando le piante verranno messe sul terreno MS con kanamicina rimarranno in vita solo quelle che hanno trascritto con successo il vettore.
- (destra) le piante transgeniche sono coltivate in una serra
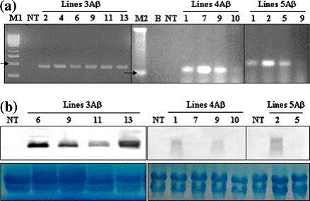
Parte Seconda: analisi delle linee transgeniche tramite PCR e Northern blot.
(a) analisi della presenza del gene Ab tramite PCR. Il Dna viene estratto dalle foglie delle piante. In seguito esso viene amplificato tramite la tecnica PCR utilizzando primers specifici che amplificano i frammenti 3,4 e 5 della beta amiloide.
Nell immagine vediamo la comparazione dei frammenti provenienti dalle piante con campioni provenienti da beta amiolide umana. La colonna NT è la colonna delle piante non trasformate.
(b) ricerca di mRNA Ab nelle piante transgeniche. La stessa comparazione precedente viene fatta con l RNA. Questo per massimizzare la precisione con cui si selezionano le piante migliori.

Parte Terza: analisi delle proteine Ab derivate dai pomodori.
(a) analisi
western blot dei geni trascritti.
(b) analisi quantitative dell espressione della beta amiloide ottenuta tramite
ELISA diretto.
L istogramma è calcolato utilizzando il peptide Ab42 come standard. Ogni barra rappresenta la media di 3 campioni ± errore standard.
Parte Quarta:
L assunzione orale di pomodori GM da parte di topi balb/c ha comportato risposte immunitarie. Le barre nere rappresentano il sangue prelevato da topi che hanno assunto piante GM, mentre le barre grigie il sangue di topi che hanno assunto piante non trasformate.
Le tre colonne rappresentano la presenza di anticorpi in 3 prelievi consecutivi: il primo subito dopo l'immunizazione, il secondo dopo 2 settimane (dopo il primo richiamo) e il terzo dopo 3 settimane (dopo il secondo richiamo).
È palese che si ha una crescita esponenziale di anticorpi solo dopo un consistente lasso di tempo.
I Risultati
Il risultato è stato davvero inaspettato e sorprendente: Infatti i topi immunizzati producono anticorpi sierici contro l'antigene Ab.
Questo significa che le piante di pomodoro possono fornire un sistema utile per la produzione di antigene umano Ab e quindi per creare un vaccino efficace contro l Alzheimer.
Naturalmente la ricerca non si ferma qui: come spiegato da HyunSoon Kim sulla rivista scientifica Biotechnology Letters adesso sarà necessario verificare se la presenza nell’organismo di questi anticorpi impedisca a lungo andare la formazione delle placche responsabili dello sviluppo della demenza e dell’Alzheimer.
Il numero di morti a causa dell Alzheimer cresce ogni giorno sempre di più e l uomo non ha mai avuto una vera è propria arma per poter combattere questa terribile malattia. Oggi grazie al lavoro di molti scienziati in tutto il mondo possiamo dire di avere acquisito un nuovo mezzo per vincere questa terribile battaglia, la prevenzione.
Questo vaccino derivato dal pomodoro è solo un minimo esempio dell impegno che tanti uomini stanno mettendo per trovare una soluzione, soluzione che purtroppo non è ancora disponibile nelle mani dell umanità.
Per ora il modo migliore che conosciamo per ingannare questa malattia è seguire una dieta equilibrata ricca di antiossidanti, mangiando frutta verdura, olio extra vergine di oliva, e cercando di diffidare da alimenti ricchi di grassi. Da un certo punto di vista noi italiani possiamo ritenerci fortunati poiché la dieta mediterranea che ci caratterizza è la maggiore espressione di questo modo di mangiare. Ma presto anche vaccini ottenuti da piante OGM saranno presenti nelle nostre case per combattere le malattie.